Article: Emergency Caesarean delivery in a patient with confirmed COVID-19 under spinal anaesthesia Br J Anaesth. 2020 May;124(5):e216-e218.
Wuhan, la ciudad central del centro de China, ha informado de un brote de neumonía atípica causada por un nuevo coronavirus de 2019 a fines de 2019. Este coronavirus se denomina oficialmente síndrome respiratorio agudo severo coronavirus 2 (SARS-CoV-2).
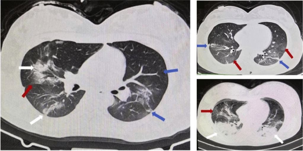
Hay muchas mujeres embarazadas que presentan la enfermedad por coronavirus 2019 (COVID-19), que sin duda amenaza la vida tanto de la madre como del bebé. Actualmente, no existen estadísticas sobre mujeres embarazadas infectadas con COVID-19. Una revisión retrospectiva ha indicado las características clínicas de nueve mujeres embarazadas con COVID-19. Sin embargo, se desconoce cómo se realizó la anestesia durante el parto. Aquí, presentamos un caso de anestesia espinal exitosa en una mujer con COVID-19 confirmado que requirió cesárea de emergencia. Cabe destacar que hubo 35 casos con COVID-19 confirmado que se sometieron a una cesárea de emergencia en el Hospital Wuhan Union desde el 23 de enero de 2020 hasta el 20 de febrero de 2020, con más investigación clínica en curso. [Ver artículo completo]

Ahora que has leído y analizado la publicación te invitamos a participar enviándonos tu opinión en el campo de texto inferior. ¡Gracias!